Zahnarzt Wien Dr. Azzawi
About Business
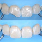
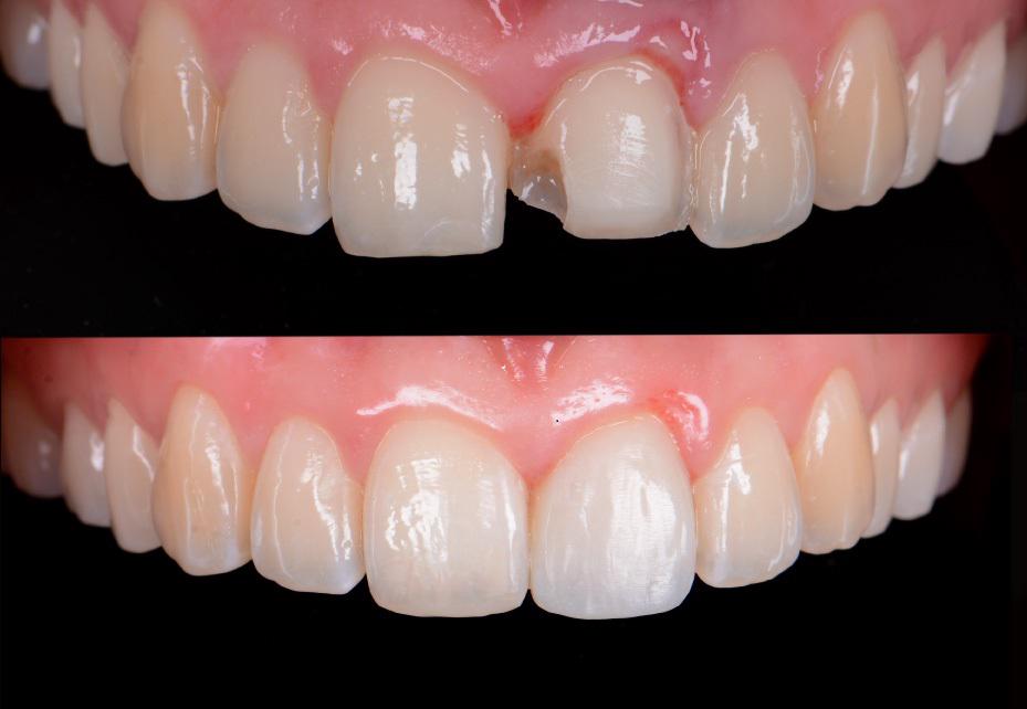
Ästhetische Zahnheilkunde ist für mich wie ein Traum, eine Liebe und wie eine Leidenschaft, der ich folgen will. Es macht mich glücklich, ein schönes Lächeln auf die Gesichter der Menschen zu zaubern. Deshalb leiste ich harte Arbeit für jeden einzelnen Fall, wie Planung, Diagnose und Vorbereitung bis zum finalen Schritt der Arbeit. Meine Philosophie in der Zahnmedizin und als Zahnarzt Wien ist für mich nicht nur High-End-Ästhetik, sondern auch gesunde und funktionelle Zahnmedizin. Auf dieser wunderschönen, speziellen Website finden Sie viele großartige, echte Fälle, – Fotos, die ich kürzlich vor und nach den Behandlungen gemacht habe. Schauen Sie sich diese an und genießen Sie die Schönheit!
Keywords: Veneers , Zahnimplantate , Zahnspange , Gummy Smile Behandlung , Kronen und Brücken , Mikroskopische Wurzelbehandlung , Zahnarzt Wien , Zahnarzt Wien 1010
Hour: Mon - Tue 9 AM–6 PM, Wed - Fri 9 AM–10 PM, Sat 9 AM–5 PM, Sun Closed
Year of Est.: 2018
No. Of Employees : 12
Payment: Visa , Master Card
Other Businesses
Cosmetic Dentists
LivHealthy Dental
Dentists
Dentist Woollahra - Better Smiles Bondi Junction
Cosmetic Dentists
Innovative Dentistry of Fall Creek
General Dentistry
Srishti Dental
Dentists
Nexus Dental Centre
Dentists
Farmville Dental
Dentists
Damira Bicester Dental Practice
Dentists