About Business
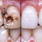
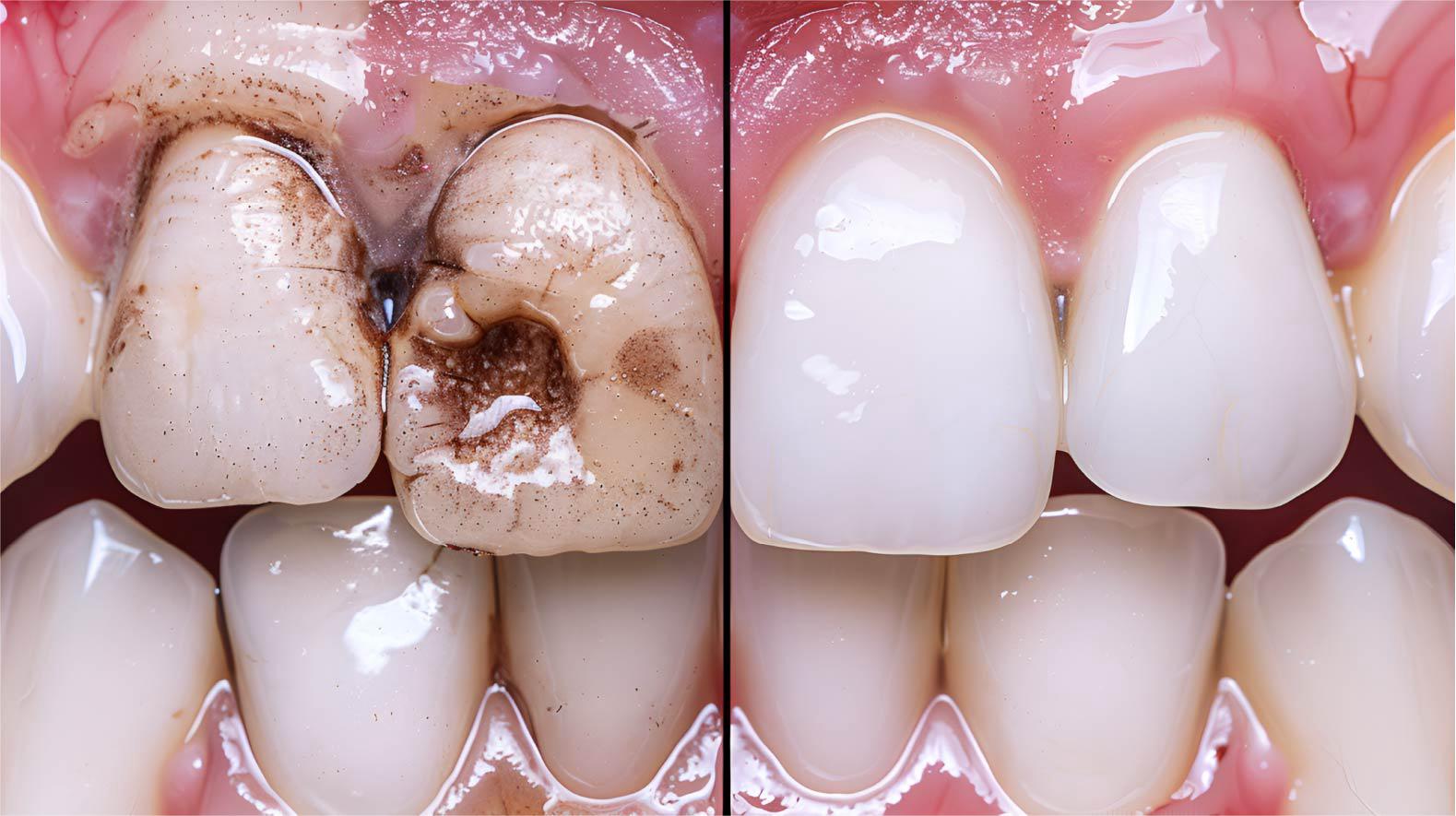
The MedPrime team is dynamic, specialized in all fields of dental medicine, and continues the path of perfection through postgraduate courses abroad, conducted by the most renowned dentists of the moment. The professionalism of the medical staff and their demonstrated dedication reflect the high standards of the MedPrime clinic.
Other Businesses
Dental Implants
Greenwich ENT
Dental Implants
Newington Shine Dental
Orthodontists
Invisalign Tampa Clear Aligners
Teeth Whitening
Hosseini Heather G DDS
Emergency Dentists
Topaz Dentistry & Braces
Dental Technicians/Dentures/Implants
Staina House Dental Practice
Dental Implants
BRACESAURUS
Dental Implants