Live Life Smiling
About Business
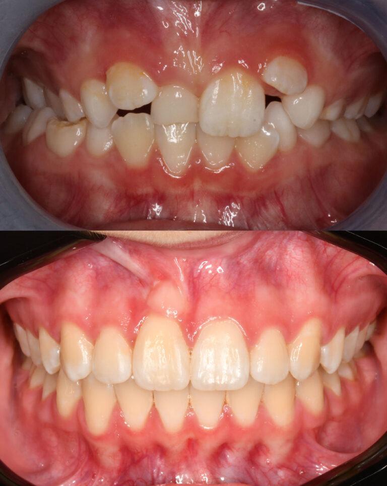
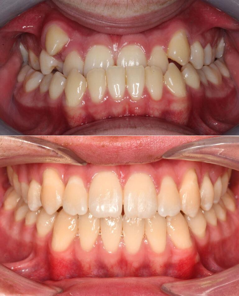
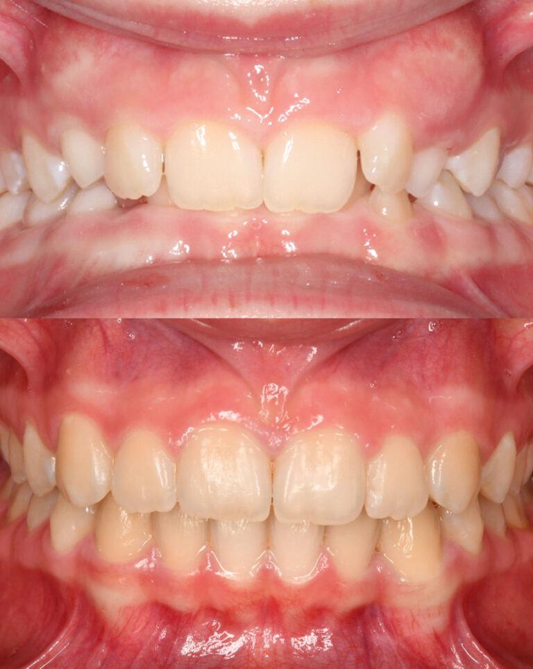
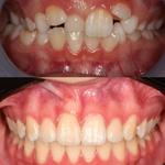
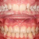
In Broadmeadow, Newcastle NSW, Live Life Smiling provides compassionate family dentistry and leading orthodontic care, including Invisalign and traditional braces. Their patient focused team uses advanced technology for precise, comfortable treatments. From routine check ups to cosmetic improvements, they’re here for you. Visit their site or call (02) 4950 9221 to book your visit!
Other Businesses
Dental Implants
Staten Island Dental Boutique
Orthodontists
Smile Republic Orthodontics
Dentists
Dentist Woollahra - Better Smiles Bondi Junction
Orthodontists
Thomson Family Orthodontics
NHS Dentists
Zahnarztpraxis Dirk Haesloop
Dentists
Concord Dental Associates
Holiday Decorating Services
Sunwin
Dentists