Ipswich Dental Specialists
About Business
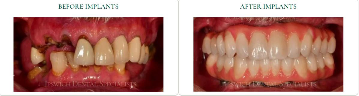
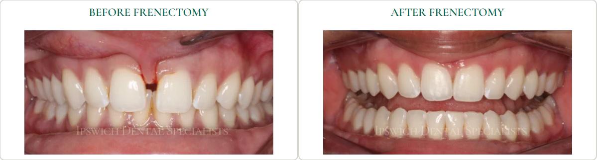
At IDS, our team of highly trained, experienced expert dentists is dedicated to providing advanced, personalised treatments in a welcoming environment. Our specialist-led practice offers comprehensive services including periodontics, orthodontics, endodontics, prosthodontics, and paediatric dentistry ensuring a tailored solution for each patient. With state-of-the-art technology and a focus on patient comfort, we offer everything from routine check-ups and hygiene to complex procedures like dental implants, root canals, full arch reconstructions and orthodontics for all ages. We keep our patients at the centre of everything we do. Visit us to experience high-quality dental care that prioritises your health, comfort, and confidence.
Other Businesses
Dental Technicians/Dentures/Implants
Ekadanta Dental Care
Dentists
Huntington Park Dental
Cosmetic Dentists
Sunrise Dental Arts
Orthodontists
Smile Republic Orthodontics
Dentists
Newton Drive Family Dentistry
Periodontists
Okanagan Periodontics
Dental Implants
Crowning Glory Dental Clinic
Dental Implants