Dental veneers in Yonkers, NY
About Business
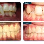
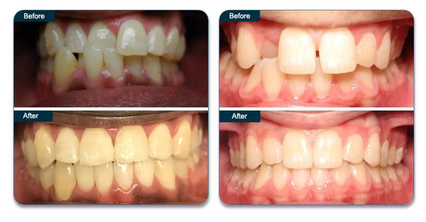
Dental veneers are thin shells that cover the front surface of your teeth. We use porcelain or composite veneers to cover the stained, worn down, chipped, cracked, or slightly oddly shaped teeth. Veneers on teeth can also close or minimize gaps and teeth longer. As an alternative to orthodontic treatment, veneers’ dental restoration can bring teeth back into alignment to create a more cosmetically perfect smile. Although slightly more expensive, porcelain veneers are long-lasting, and with the proper care, should last ten years or longer. Also, veneers made of porcelain cannot stain or change its shade.
Visit our state-of-the-art dentistry center near you to meet the best in class, top-rated cosmetic dentists to experience the best quality porcelain veneers have to offer.
What Are Porcelain Veneers and When to Choose Them?
Over the past few years, cosmetic dentistry has advanced considerably, and one of the most popular and widely used innovations is veneers. The materials used to fabricate dental veneers have improved tremendously, as have the techniques utilized to create them. Probably the main reason why this cosmetic solution is so popular is that it can transform a smile. If you already have nice teeth, it’s easy to underestimate the importance of smiling, but it’s a way we express emotions and communicate with others.
Park Avenue Smiles
169 Park Ave,
Yonkers, NY 10703
914-965-3864
Web address: https://www.yonkersdentalspa.com/dental-veneers/
Our location on map:
https://g.page/yonkers-dentists-invisalign
https://plus.codes/87G8W4W5+9P Yonkers
Nearby Locations:
White Plains | Eastchester | Greenburgh | Bronxville | Rochelle | Scarsdale
10601 | 10709 | 10607 | 10708 | 10583
Working Hours:
Monday: 9:00 am - 5:00 pm
Tuesday: 9:00 am - 8:00 pm
Wednesday: 9:00 am - 8:00 pm
Thursday: 9:00 am - 5:00 pm
Friday: 9:00 am - 5:00 pm
Saturday: 8:00 am - 3:00 pm
Sunday: CLOSED
Payment: cash, check, credit cards.
Keywords
Other Businesses
Dentists
TLC Pediatric Dentistry & Orthodontics
Dentists
Advanced Dental Care - Dentist Dubbo
Cosmetic Dentists
Orthodontic Experts Orland Park
Dentists
Rauch Family Dentistry
Cosmetic Dentists
Parkmore Family Dental
Dentists
Natick Dental Health
Dentists
Marlborough Clinic Belfast
Cosmetic Dentists